

뼈이식은 임플란트를 식립하기 위한 뼈가 없는 경우
부족한 부분을
자가뼈 또는 인공뼈를 이식하여
임플란트 식립에 필요한 뼈를 확보하는 술식입니다.
부족한 부분을
자가뼈 또는 인공뼈를 이식하여
임플란트 식립에 필요한 뼈를 확보하는 술식입니다.


치조골은 치아를 발치 한 후 지속적으로 녹아
없어지는데 치조골을 보존하기 위해
발치 후
미리 뼈이식 하면 추후 임플란트 식립시 충분한
치조골을 확보할 수 있어
임플란트 수술을 하는데
매우 유리합니다.
없어지는데 치조골을 보존하기 위해
발치 후
미리 뼈이식 하면 추후 임플란트 식립시 충분한
치조골을 확보할 수 있어
임플란트 수술을 하는데
매우 유리합니다.
뼈이식 시술 후 잇몸뼈의 위치 변화




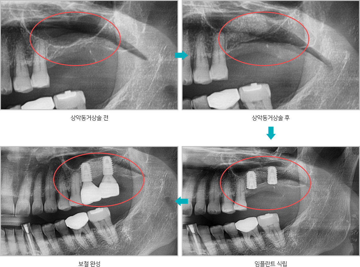
위턱뼈 속의 비어있는 공간을 상악동이라고 하는데
상악동과 잇몸뼈 사이에 임플란트를
심을 수 있는 만큼의
뼈가 남지 않았을 때, 잇몸뼈 위쪽에 위치한 상악동의
아래벽을 위쪽으로
들어올리고 그 공간에 뼈를 채워
넣어서 임플란트를 심을 수 있는 뼈의 양을
확보하는 술식입니다.
상악동과 잇몸뼈 사이에 임플란트를
심을 수 있는 만큼의
뼈가 남지 않았을 때, 잇몸뼈 위쪽에 위치한 상악동의
아래벽을 위쪽으로
들어올리고 그 공간에 뼈를 채워
넣어서 임플란트를 심을 수 있는 뼈의 양을
확보하는 술식입니다.
상악동거상술 전후


상악동거상술 모식도

